Метка: Зубы

Как навсегда избавиться от зубного камня без стоматолога. Поможет действенное средство!
Здоровье, Советы

Как навсегда избавиться от зубного камня без стоматолога. Поможет действенное средство!

Сегодня большое количество людей задается вопросом, как избавиться от зубного камня в домашних условиях? Особенно он тревожит тех людей, которые не могут себе позволить дорогие услуги стоматологических клиник. Одним из средств, способных убрать зубной камень, является отвар из коры молодых […]

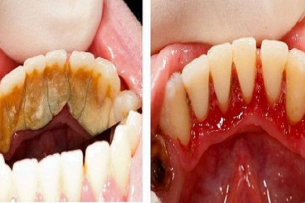
Узнай, как легко удалить зубной камень и сделать улыбку белоснежной! Даже не надеялась на такой эффект…
Здоровье, Советы

Узнай, как легко удалить зубной камень и сделать улыбку белоснежной! Даже не надеялась на такой эффект…

Несмотря на то, что на сегодняшний день одной из самых популярных стоматологических процедур является удаление зубного камня, не всем по карману такое удовольствие. Да и стоит ли переплачивать, если можно с легкостью удалить зубной камень в домашних условиях. Для этого […]

Хочешь укрепить и отбелить зубную эмаль? Вот рецепт одного тибетского монаха!
Здоровье

Хочешь укрепить и отбелить зубную эмаль? Вот рецепт одного тибетского монаха!

Ежедневно мы впитываем необъятное количество рекламы: нам предлагают средства, которые должны гарантированно отбелить зубы, уничтожить кариес и вылечить десны. Беда в том, что все эти зубные пасты сделаны с большим количеством химических веществ и никто не упоминает об их вреде […]

Она нанесла на ступни немного ополаскивателя для рта. Через полчаса случилось чудо!
Здоровье, Советы

Она нанесла на ступни немного ополаскивателя для рта. Через полчаса случилось чудо!

Пожалуй, самым известным ополаскивателем для полости рта является «Листерин». Это средство было придумано еще в позапрошлом веке и с тех пор пользуется неизменной популярностью во всём мире. Интересно, что первоначально оно задумывалось как обыкновенный антисептик и лишь потом стало ополаскивателем […]

Это средство отбелит даже самые желтые зубы и удалит гадкий зубной камень! Потрясающий эффект…
Здоровье, Советы

Это средство отбелит даже самые желтые зубы и удалит гадкий зубной камень! Потрясающий эффект…

Все знают, что залогом красивой улыбки является здоровье полости рта. Однако большинство из нас пренебрегают этим аспектом. Из-за неправильного ухода за полостью рта на зубах образуется налет и, как следствие, зубной камень. Формирование зубного камня — достаточно длительный процесс, он […]

Остановить кариес возможно! Эти 5 шагов помогут вернуть зубам прежний вид…
Советы

Остановить кариес возможно! Эти 5 шагов помогут вернуть зубам прежний вид…

Кариес на зубах образуется из-за стремительного развития бактерий определенного типа. Они производят кислоту, которая разрушает эмаль зубов, а также дентин. Многие ошибочно думают, что развитие кариеса невозможно остановить. Но известный американский ученый и сыроед Девид Вульф считает, что лечение кариеса […]

Испробовал всё, но помогло лишь это… Просто приложил к зубу, и боль ушла мгновенно!
Здоровье

Испробовал всё, но помогло лишь это… Просто приложил к зубу, и боль ушла мгновенно!

Сверлящая, нестерпимая, выносящая мозг зубная боль может возникнуть в самый неподходящий момент, например, в поездке или во время важного совещания. Еще хуже, когда больной зуб дает знать о себе ночью! И, чтобы хоть как-то дождаться утра, ты тянешься к аптечке […]

Как отполировать экран телефона и еще 9 гениальных способов применения зубной пасты.
Советы

Как отполировать экран телефона и еще 9 гениальных способов применения зубной пасты.

Современную жизнь трудно представить без зубной пасты. Все мы заботимся о гигиене рта и регулярно чистим зубы. Зубная паста есть в каждом доме, и, как оказалось, у нее есть множество скрытых возможностей! «Так Просто!» расскажет тебе о 10 необычных применениях зубной […]

Эта маска для зубов оставит стоматологов без работы! Всего 4 компонента…
Советы

Эта маска для зубов оставит стоматологов без работы! Всего 4 компонента…

К сожалению, кариес является самой распространенной проблемой, поражающей зубы. Этот процесс разрушения зубной эмали часто сопровождается сильными болевыми ощущениями. Сегодня наша редакция поделится с тобой рецептом замечательного средства, которое поможет предотвратить и остановить развитие этой болезни. Но не стоит думать, […]

Вырастить новые зубы за 9 недель: процедура, которая возможна в любом возрасте!
Здоровье

Вырастить новые зубы за 9 недель: процедура, которая возможна в любом возрасте!

Вырастить новые зубы, хоть в 3 ряда, вскоре сможет каждый желающий! Профессор Джереми Мао из Колумбийского университета предложил новую революционную технологию, которая позволит забыть о бормашинках, имплантатах, зубных протезах и прочих стоматологических радостях. Проблема в том, что установка имплантатов требует […]

Когда врач увидел зубы 3-летнего ребенка, он задал матери всего один вопрос…
Здоровье

Когда врач увидел зубы 3-летнего ребенка, он задал матери всего один вопрос…

Более 93 % людей разного возраста страдает от кариеса зубов! Мы знаем об этом заболевании очень много, но вместе с тем недостаточно… Чтобы у взрослого человека не возникло кариеса, нужно проводить профилактику еще в детстве. К сожалению, одной регулярной чисткой […]

Как отбелить зубы в домашних условиях за 3 минуты: 100%-й результат!
Видео, Здоровье

Как отбелить зубы в домашних условиях за 3 минуты: 100%-й результат!

Если ты являешься любителем таких напитков, как чай или кофе, тебе знакома до боли проблема желтых зубов. Есть, конечно, масса дорогих процедур для отбеливания зубов, которые предлагают профессиональные клиники, но они пугают своими ценами. Сегодня мы расскажем тебе, как отбелить […]

Забудь о проблемах с зубами! Эти 8 растений сделают твою улыбку неотразимой.
Здоровье

Забудь о проблемах с зубами! Эти 8 растений сделают твою улыбку неотразимой.

Магазинные средства по уходу за зубами часто содержат лаурилсульфат натрия и спирт, которые постепенно разрушают зубы. Сегодня всё больше производителей заменяют вредные химические вещества натуральными травами, так как положительный эффект от них не хуже. Некоторые травы идеально подходят для ухода […]

Плохой запах изо рта? Это всё паразиты внутри! Для очистки нужно…
Здоровье, Кулинария

Плохой запах изо рта? Это всё паразиты внутри! Для очистки нужно…

Свежее дыхание, белые зубы, здоровые десны — залог уверенности в себе, путь к успешному общению. Полноценный уход за полостью рта подразумевает не только очищение зубов пастой и использование зубной нити, а и ополаскивание. Как избавиться от запаха изо рта Прилавки […]

Вот почему не нужно отдавать молочные зубы зубной фее. Поразительное открытие!
Здоровье, Советы

Вот почему не нужно отдавать молочные зубы зубной фее. Поразительное открытие!

Когда у детей выпадают молочные зубы, многие родители совершают особенный ритуал. Чтобы ребенок порадовался, зуб меняют на монетку и отправляют его зубной фее — ведь всем детям по душе такие развлечения… Зная о последних научных исследованиях на эту тему, я […]

Как избавиться от зубного камня при помощи 1 простого средства.
Здоровье

Как избавиться от зубного камня при помощи 1 простого средства.

Коричневый или желтый налет на зубах можно удалить дома! Зубной камень — распространенная проблема, и современная стоматология предлагает множество способов его устранения. Но существует метод, который работает не хуже, при этом экономя твои средства! Тщательная гигиена полости рта очень важна: […]

Всю жизнь ты чистил зубы неправильно! Благодаря этой схеме всё меняется…
Видео, Здоровье

Всю жизнь ты чистил зубы неправильно! Благодаря этой схеме всё меняется…

Недавно мой стоматолог сказал, что большинство проблем со здоровьем возникают, если человек чистит зубы не слишком тщательно. Инфекции ротовой полости, молочница во рту, кариес, пародонтоз — все эти неприятности влияют на общее состояние организма! Даже сердечные заболевания бывают связаны с […]

Она покрыла зубы пищевой фольгой с неожиданной целью… Результат впечатляет!
Советы

Она покрыла зубы пищевой фольгой с неожиданной целью… Результат впечатляет!

Домашнее отбеливание зубов выручает тогда, когда нужно срочно сделать улыбку белоснежной, но нет времени сходить к стоматологу. А ведь красивая улыбочка — это уже залог хорошего настроения и уверенности в себе. Сегодня предлагаем тебе еще один метод отбеливания зубов, секретный […]